JP / EN

2026/01/24 ブログ

噛み合わせを重視したインプラント治療|赤坂で受ける精密診断と治療計画のポイント

インプラント治療における「噛み合わせ」の重要性

インプラント治療を検討する際、多くの方が「しっかり噛めるようになりたい」という希望を持っています。

しかし、インプラントを埋め込むだけでは十分ではありません。長期的に安定して使用するためには、「噛み合わせ」の精密な診断と調整が欠かせないのです。

インプラントは天然歯と異なり、歯根膜という「クッション」がありません・・・そのため、過剰な力が加わると上部構造が欠けたり、インプラント体にダメージが蓄積されてしまう可能性があります。特に、歯ぎしりや食いしばりの習慣がある方は注意が必要です。

噛み合わせのズレは、インプラント周囲の骨に炎症を起こしたり、隣の歯に悪影響を与えることもあります。

だからこそ、治療前の精密な診断と、治療後の継続的な調整が重要になるのです。

赤坂ひろデンタルの精密診断システム

歯科用CTによる三次元的な骨の状態把握

インプラント治療において、事前の正確な診断は成功の鍵を握ります。

赤坂ひろデンタルでは、最新の歯科用CTを導入し、顎の骨の厚みや密度、神経や血管の位置を三次元で精密に把握しています・・・従来のレントゲン撮影では見えなかった細部まで確認できるため、理想的な埋入位置・角度を計画することが可能です。

CT撮影のデータは、コンピュータ処理によって断層撮影した画像を3次元グラフィックスとして表示されます。これにより、肉眼では確認できない骨の内部構造や、埋め込むべき骨の位置などを正確に把握できるのです。

口腔内スキャナーによる精密な歯型採取

最新の口腔内スキャナーを使用することで、従来の型取りよりも快適で正確な歯型採取が可能になります。

デジタルデータとして記録されるため、噛み合わせの分析や補綴物の設計にも活用できます。

咬合器を用いた噛み合わせの精密分析

赤坂ひろデンタルでは、咬合器という専用の機械を使用して、患者様の噛み合わせを精密に再現します。

咬合器は顎関節がさまざまなパーツで構成されており、患者様の顎の動きを忠実に再現できるため、一人ひとりに対して適切な診断・治療を行えます・・・日常生活を送るなかでは気づきにくい問題点も発見できるのです。

正しい噛み合わせではない場合、頭痛、首や肩のこり、手足のしびれ、腰痛、顎関節の痛み、動悸・息切れ、難聴、めまいなど、全身の健康にも悪影響を与える可能性があります。

ドイツで研鑽を積んだインプラント専門医による治療

ドイツインプラント学会認定の専門医資格

赤坂ひろデンタルの院長・西原宗信医師は、ドイツインプラント学会(DGI:Deutsche Gesellschaft für Implantologie)認定のインプラント専門医の資格を持っています。

ドイツで噛み合わせを中心に研鑽を積んだ経験を活かし、見た目だけでなく機能面も考慮した総合的な治療を提供しています。

インプラント治療は高度な技術と専門的な知識・設備を必要とする治療です。また、数々の症例を診てきた「経験値」も必要とされます。

噛み合わせを中心とした総合的なアプローチ

院長は噛み合わせをテーマに大学や学会で講演・執筆も行っており、豊富な臨床経験と知識をもとに、患者様一人ひとりに合った精密な噛み合わせの調整を行っています。

噛み合わせはとても繊細で、髪の毛1本分のズレでも違和感や痛みを感じるほど精密な世界です・・・そのため、十分な知識と経験がないままインプラントを行うと、せっかく治療しても「噛みにくい」「痛い」「長く持たない」といったトラブルにつながることがあります。

治療計画の立案プロセス

初診カウンセリングでの丁寧なヒアリング

治療を始める前に、患者様の気になること、お悩みやご要望を丁寧にお聞きします。

「痛みが不安」「費用がどうなっているのだろう」「インプラント手術は安全なのか」など、ご納得いただくまで何でもお聞きください。この段階でインプラント治療するかを決める必要はありません。

精密検査による総合的な診断

インプラント治療において、診査診断はとても重要です。患者様個々人に適した治療計画を立てるためにも、以下の検査を実施します・・・

  • 「口腔内の診査」・・・全身疾患の有無、インプラント予定部位の骨・歯ぐきの診査、歯ぎしり・食いしばりなどの癖の有無
  • 「残存歯の状態確認」・・・歯周病の状態、むし歯の状態、噛み合わせの状態
  • 「CTによる精密診断」・・・骨の状態、埋め込むべき骨の位置などを正確に把握
  • 「生活習慣の診査」・・・ブラッシングの状態の確認、喫煙の有無

歯周病に罹患している場合は歯周病治療が必要ですし、骨の厚み・高さが足りない場合は骨再生・骨造成治療が必要になります。こういった事例がある場合は、治療を行ってからインプラント埋入手術に移行していきます。

サージカルガイドによる安全性の向上

事前の計画を手術に正確に反映させるために「サージカルガイド」を活用します。

サージカルガイドとは、手術中にドリルの位置や角度を正確に誘導する”ナビゲーションシステム”のようなもの・・・これを使うことで、神経や血管を傷つけるリスクを最小限に抑え、計画通りの安全な手術を実現します。

サージカルガイドを使うことで、神経・血管を守り手術のリスクを大幅に減らせるだけでなく、経験や感覚に頼らずデータに基づいた正確な埋入が可能になります。

マイクロスコープによる精密治療

拡大視野での低侵襲手術

赤坂ひろデンタルでは、インプラント治療においても拡大鏡やマイクロスコープを使用することで、より精密で侵襲の少ない治療を行っています。

インプラント治療のような外科的侵襲が大きい手術の場合、治療中は麻酔により痛みが抑えられていたとしても、麻酔が切れた時にどうしても腫れや痛みが生じてしまいます。

この腫れや痛みは手術時の侵襲度合いに比例するといわれており、手術時の侵襲をなるべく抑えることで手術後の痛みや腫れを減らすことができます・・・拡大鏡やマイクロスコープを使用することで、最小限の傷口で的確な位置にインプラントを埋込することができるため、術後の腫れや痛みの軽減のほか、治療期間の短縮や通院回数の減少なども期待できます。

精度の高い埋入位置の実現

マイクロスコープによる拡大視野は、インプラントの埋入位置や角度を細かく調整できます。

骨の状態を立体的に確認でき、理想的な位置に正確にインプラントを配置することで、長期的な安定性を確保します。

治療後のメンテナンスと噛み合わせ調整

定期的な噛み合わせチェックの重要性

インプラント治療後のメンテナンスは、非常に重要です。

インプラントは虫歯にはなりませんが、「インプラント周囲炎」には注意する必要があります・・・インプラントを末永く保つためには、自宅でのセルフケアだけでなく歯科医院での定期的なメンテナンスが大切です。

メンテナンスを怠ると、インプラントの周囲に炎症が起きたり、隣の歯が虫歯や歯周病になりやすくなります。噛み合わせのズレにも気づきにくくなり、放置するとインプラントが破損するおそれがあります。

そのため、術後は3カ月〜6カ月ごとに通院が必要です。

ナイトガードによる保護

歯ぎしりや食いしばりの習慣がある方には、ナイトガード(マウスピース)の使用をおすすめします。

睡眠中の無意識な力から守る役割があり、オーダーメイド設計により患者様の口腔内に完全にフィットします。”長く持たせる”ための地道な予防策として、非常に効果的です。

生活習慣指導とストレスコントロール

歯ぎしりや食いしばりは、ストレス・噛み合わせ・生活習慣が複雑に絡み合っています。

完全に治すのは難しいからこそ、”うまく付き合う”ことが正解です・・・歯科医と連携した”総合的アプローチ”により、インプラントの長期的な安定を目指します。

赤坂ひろデンタルが選ばれる理由

赤坂駅徒歩30秒の好立地

東京メトロ千代田線「赤坂駅」2番出口から徒歩30秒(ウェブサイト内では「徒歩0分」と表記)という好立地にあります。

東京メトロ銀座線「赤坂見附駅」や東京メトロ銀座線・南北線「溜池山王駅」からも徒歩6分という好アクセスです。悪天候でも通いやすく、忙しいビジネスマンにも最適な立地です。

患者様をお待たせしない予約システム

余裕をもって予約枠を確保しているため、多くの患者様から「今までの歯医者で一番待たなかった」とお喜びの声をいただいています。

また、忙しい方々のために極力治療については30分以内で行っていたり、長く時間をとり可能な限り治療を進めるなど患者様のお時間の都合に合わせて調整するよう心がけています。短期集中治療でまとめての治療を行うこともできます。

個室診療室と充実した設備

個室診療室を完備し、プライバシーに配慮した環境で治療を受けられます。

待合室には充電スペースも用意されており、快適にお過ごしいただけます。

柔軟な支払い方法

保険診療でもキャッシュレス・クレジットカード支払いに対応しています。

デンタルローン(アプラス・スルガ銀行・エポス)、各種クレジットカード(American Express、ダイナースクラブ、JCB、MasterCard、VISA)、デビットカード、そして様々なキャッシュレス決済(楽天Edy、Felica、ICOCA、Suica、Pay Pay、au PAY、ゆうちょPay、LINE Pay、楽天ペイ、メルペイ、QUICPay、ファミペイ)に対応しています。

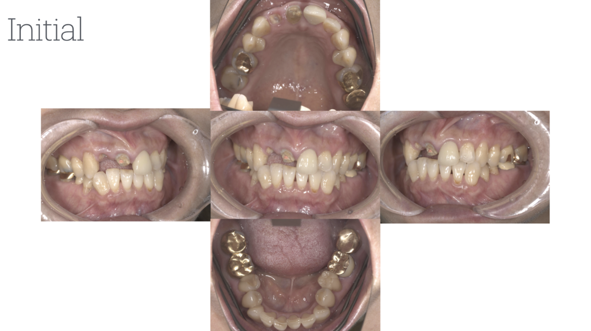
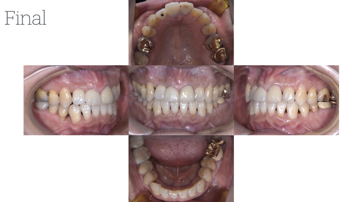
症例紹介

患者1

年齢性別:60代男性

主訴:定期的なメインテナンスを長年行ってきたが、前歯が揺れ始め、奥歯が噛めない状況になったため、当院にて相談。このままでは歯を失うリスクがあったため、全顎的な治療を希望。まずは、奥歯が噛めるように矯正治療を開始。同時に歯周治療を徹底的に行った。その後、保存不可能な歯は抜歯を行い、インプラント治療・被せ物による噛み合わせの調整を行った。現在、治療後定期メインテナンスを行ってい、安定した状態を保っている。

患者2

年齢性別:60代女性

主訴:右上被せ物の脱離にて来院。噛み合わせが深く、前歯を突き上げるような状態になっているため今回被せ物が維持できなくなったため矯正治療を行い、噛み合わせの改善を図った。矯正治療後、インプラント埋入を行い全体的な噛み合わせの調整を行った。

治療後、メインテナンスを継続中。

患者3

年齢性別:60代女性

主訴:以前より、見た目の改善を含め、奥歯の摩耗が気になっており治療を希望。

まずは、矯正治療にて歯のポジションを改善。その後、インプラントと金属の除去にて回見合わせを最終調整。全体的な噛み合わせが改善し、歯軋りも気にならなくなったとのこと。現在、定期検診を継続中。

まとめ|噛み合わせを重視したインプラント治療で長期的な健康を

インプラント治療において、「噛み合わせ」は単なる仕上がりの問題ではありません。

長期的に安定して使用し、全身の健康を維持するための重要な要素です・・・赤坂ひろデンタルでは、ドイツで研鑽を積んだインプラント専門医による精密診断と、最新設備を駆使した治療計画により、患者様一人ひとりに最適なインプラント治療を提供しています。

歯科用CTや口腔内スキャナー、咬合器、マイクロスコープなどの最新機器を活用し、事前の精密な診断から術後の継続的なメンテナンスまで、一貫したサポート体制を整えています。

「しっかり噛めるようになって、毎日の食事を快適にしたい」とお考えの方は、ぜひ一度ご相談ください。

赤坂ひろデンタルは、赤坂の地でどの医院よりも患者様ファーストな治療と丁寧な説明を徹底した歯科医院を目指しています。健康を維持する第一歩、そして健康寿命を延ばせるパートナーとして、さまざまな相談ができる歯科医院です。

詳しい治療内容や予約方法については、赤坂ひろデンタルの公式サイトをご覧ください。あなたの笑顔と健康のために、最高の治療をご提供いたします。

著者情報

赤坂ひろデンタルクリニック 院長 西原 宗信(にしはら ひろのぶ)

資格

  • 日本歯科医師免許
  • ドイツ歯科医師免許
  • ドイツインプラント学会「認定インプラント専門医」

研究論文

  • ジルコニアインプラント 基礎研究:システマティックレビュー

著書

  • 「ITI トリートメントガイド」(翻訳)

経歴

    • 2013年3月 九州大学 歯学部 卒業
    • 2013年4月~2014年3月 九州大学病院 口腔総合診療科にて研修
    • 2014年9月~2017年12月 独Freiburg大学 補綴・インプラント科 所属
    • 2018年1月~2018年12月 医療法人祐歯会をはじめ、非常勤として複数医院

にて勤務

  • 2019年1月~2022年4月 医療法人社団さくら会 MMデンタルクリニック 勤務
  • 2022年6月 赤坂ひろデンタル smile design & works 開院

役職

  • ITI エデュケーション委員
  • ITI SC MM director
記事監修医師
西原 宗信 院長

西原 宗信 院長

赤坂ひろデンタル

〒107-0052
東京都港区赤坂2-14-31 ウィンド赤坂2F 03-6230-9575

診療時間
9:30~13:00 / /
14:00~18:30 / / /

★9:30~14:30まで
※不定期に、木曜日が休診日となる場合があります。

  • 休診日:水曜日・日曜・祝日
  • 患者さまをお待たせしないため、予約制を採用しております。あらかじめ、お電話かネット予約にて予約をおとりください。なお、急患は受付可能です。
  • 受付から診療までスムーズにお進みいただけるよう、初診時は予約時間の10分前までにご来院ください。
TEL:03-6230-9575
トップに戻る