Treatment
実際の治療例のご紹介
赤坂で歯医者をお探しの方に向けて、当院で実際に行った治療例をご紹介いたします。
赤坂でお口全体を丁寧に診る歯医者として、見た目だけでなく機能面まで考えた治療を行っています。
※実際の治療例をもとにご紹介しています。治療内容や適応はお口の状態によって異なります。
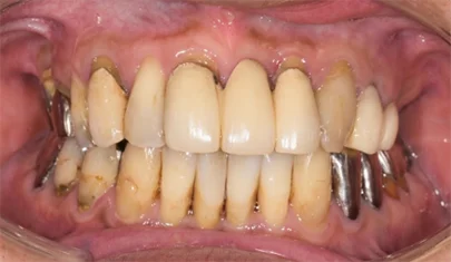
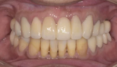
①奥歯で噛めない状態を改善した全顎治療(40代男性)
BEFORE
AFTER
来院時の状態
「奥歯で噛めず食事がつらい」とのことで来院されました。奥歯でうまく噛むことができず、硬いものを避けながら食事をされていました。
原因
右上の奥歯に強い感染があり、副鼻腔(鼻の奥の空間)にも炎症が起きていました。
治療
感染した歯を抜歯して炎症を治療した後、インプラント治療を行いました。さらに噛み合わせ全体を見直し、お口全体のバランスを整えました。
ポイント
奥歯で噛めない状態を放置すると、他の歯に負担がかかることがあります。お口全体を診て治療することで、しっかり噛める状態を目指しました。
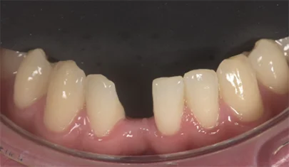
②前歯の欠損を接着ブリッジで改善した症例(30代男性)
BEFORE
AFTER
来院時の状態
右下の前歯が抜けてしまい、見た目や噛みにくさが気になるため来院されました。
治療方法の検討
インプラント治療とブリッジ治療の両方が選択肢として考えられましたが、「できるだけ歯を削りたくない」とのご希望がありました。
治療
周囲の歯を大きく削らずに治療できる方法として、接着ブリッジを選択しました。欠けていた前歯を補い、見た目や噛みやすさを改善しました。
ポイント
接着ブリッジは、周囲の歯を大きく削らずに行える治療方法です。患者様の年齢や将来のことも考えながら、治療方法を選ぶことが大切です。
③前歯部インプラント(30代女性)
BEFORE
AFTER
前歯の抜歯後にインプラント治療を行いました。 周囲の歯とのバランスに配慮し、自然な見た目になるよう仕上げています。
治療期間 6~12ヶ月
赤坂駅周辺で歯医者をお探しの方で、インプラント治療について詳しく知りたい方は、赤坂で噛み合わせまで考えたインプラント治療を行う当院の詳細ページもぜひご覧ください。
About clinic
当院について
- 東京都港区赤坂の歯医者/赤坂駅徒歩圏内・土曜診療対応
- 港区赤坂で、お口全体を丁寧に診る歯医者としてカウンセリングを重視
- 現在の症状だけでなく、将来まで見据えた治療計画をご提案
- ご予約時間を大切にし、お待たせしない診療体制
- 痛くない・抜かない・削らない治療を大切にしています
- 忙しいビジネスパーソンにも通いやすい赤坂の歯医者
- CT・マイクロスコープなど最新設備を導入
- 保険診療でもキャッシュレス・クレジットカード支払い対応
このようなお悩みを
お持ちの方は
当院にご相談ください
-
Point 01
歯が痛い
-
Point 02
歯が欠けた・詰め物・
かぶせ物が取れた -
Point 03
噛めない・
食べられない -
Point 04
他の医院での説明に
納得できなかったので
見てほしい -
Point 05
健診を受けたい
-
Point 06
銀歯を白くしたい
丁寧なカウンセリングを通して、お口の状態や治療の選択肢について分かりやすくご説明し、
患者様にしっかりとご納得いただいたうえで治療を進めています。
東京都港区赤坂で歯医者をお探しの方にとって、安心して相談できる存在でありたいと考えています。
赤坂の歯医者として、自分たちが受けたいと思えるような誠実で丁寧な治療を大切にしています。
どうぞお気軽にご相談ください。
Reason
当院が赤坂の皆様に選ばれている理由
Doctor
院長紹介
院長西原宗信
当院のホームページをご覧いただきありがとうございます。赤坂ひろデンタル、院長の西原 宗信(にしはら ひろのぶ)と申します。
何回治療をしても再発してしまう・治療をすればするほど噛めなくなっている・治療期間が長くて途中離脱してしまったなどの悩みを抱える方は多くいらっしゃるのではないでしょうか?私どもは、患者様のゴールに向かってサポートしていきます。その場限りの治療は行いません。対症療法ではなく、きちんと原因を分析し、根本から改善するための治療を提案しています。治療に対し、妥協は一切いたしません。今後も変わらず、より精密かつ精度の高い治療をご提供していきたいと思います。
健康を維持する第一歩、そして健康寿命を延ばせるパートナーとして、さまざまな相談ができる歯科医院を目指しております。お口のお悩み改善や治療は、是非お任せください。
Treatment
診療案内
当院では保険診療を取り扱っております。
料金案内はこちらを
ご確認ください
Professional
他院では行うことができない
当院の”専門的な治療”
-
虫歯や歯周病が進み、お口全体が
ボロボロになってしまった方も、
ご相談ください。東京都港区赤坂で歯医者をお探しの方の中には、「どこから治療を始めればよいのか分からない」「他の歯医者で難しいと言われた」とお悩みの方もいらっしゃいます。
赤坂で歯医者を選ぶ際には、その場しのぎの治療ではなく、お口全体をきちんと診てもらえるかどうかが重要です。
当院では、お口全体の状態を丁寧に確認し、その場しのぎではない治療計画をご提案しています。赤坂で、お口全体を丁寧に診る歯医者として、現在だけでなく将来まで見据えた診療を大切にしています。
院長は噛み合わせ治療を中心にドイツで研鑽を積み、見た目だけでなく「しっかり噛める」機能面まで重視した治療を行っています。
赤坂で歯医者をお探しの方が安心して通えるよう、現在の症状だけでなく将来まで見据えた診療を大切にしています。
-
インプラント専門医が
行う
インプラント治療ドイツインプラント学会(DGI:Deutsche Gesellschaft für Implantologie)「認定インプラント専門医」の資格を持つ院長がインプラント治療を行います。
また、静脈内鎮静法で寝ている間でオペを終わらせることもできるので、ご希望の場合は是非お気軽にご相談ください。

